Amalgam removal needs to be conducted with great care
Dental amalgam often referred to as ‘silver fillings’ contains:
- 50% mercury
- 20-35% silver
- 6-15% copper
- 8-15% tin
- Occasionally small amounts of zinc
The United Nations Environment Programme has established the Minamata Convention on Mercury, which is an international treaty that aims “to protect human health and the environment from anthropogenic emissions and releases of mercury and mercury compounds”.
When the fillings are removed it is now legislated that the scrap or old fillings need to be disposed of as toxic waste.
We have not used this material in our practice since 1987 and have always taken great care in the removal of these fillings to minimise our patient’s exposure to mercury with the use of dental rubber dam and a separate air source for the patient.
Mercury Amalgam Removal
Safety Precautions
The Holistic Approach to Amalgam Removal
As holistic dentists, we have not used dental mercury amalgam fillings since 1987 and have recognised the importance of care in amalgam removal since that time.
In 1991 the World Health Organisation (WHO), for the first time, included dental mercury amalgam fillings in their assessment of a person’s exposure to this toxic element. Not surprisingly, they concluded that these ‘silver fillings’ were the greatest source of mercury…. they are always present 24/7.
In 2002 the National Health & Medical Research Council (NHMRC) recommended several precautions be undertaken to minimise patient exposure to mercury, including using a rubber dam, additional suction and use of a special removal procedure, and a separate air source for the patient.
However, the NHMRC and the Australian Dental Association (ADA) still maintain that ‘dental mercury amalgam is a safe and effective filling material’.
At SHDC, we have taken a cautionary position. More recently, we have even upgraded our safety procedure to what is now referred to as the Safe Mercury Amalgam Removal Technique (SMART) as outlined by the International Association of Oral Medicine & Toxicology (IAOMT).
Signs & Symptoms of Amalgam (Mercury) Toxicity
As mercury is known to be one of the most toxic elements, there is cause for concern. Thousands of research articles have raised serious doubts about using mercury amalgam fillings in human health.
Mercury is toxic and is slowly and continuously released from dental mercury amalgam fillings. When it comes in contact with microbes, it undergoes biotransformation from the so-called harmless inorganic form of mercury to the more toxic organic form of mercury. As we know, many microbes exist in the mouth and the human body.
Mercury interferes with the normal functioning of many important biological compounds such as proteins, hormones and enzymes, enzyme inhibitors, amino acids, red blood cells, and muscle and nerve cells.
Mercury amalgam fillings also expand with time and cause cracks in teeth, often resulting in breakages. Microleakage (the join between filling and tooth) often results in recurrent tooth decay…this can happen with or without pain.
Mercury, therefore, can affect the immune system, the reproductive system, oral cavity, pharynx, nasal cavity, middle ear, larynx, airway, musculoskeletal system, heart, neurological system, endocrine glands and blood supply.
Mercury can be released into your body.
Temperature, corrosion and friction from chewing or clenching increase the rate of mercury released from amalgams.
After chewing or increases in temperature, e.g. Coffee or tea, the levels of mercury vapour in the mouth remain elevated for up to 90 minutes. Mercury is released from dental amalgam as vapour and particles.
Mercury vapour is invisible, odourless, and tasteless, and 80% is absorbed through the lungs into the bloodstream. We’ve already mentioned what happens when it comes in contact with bacteria.
Mercury interferes with normal biological processes in the body and is primarily stored in the kidney, liver and brain. Materials used for dental restorations should not interfere with the body’s normal functions and be conducive to good health.
Using the SMART Safety Protocol
Removing mercury amalgam fillings removes the greatest source of mercury to the body, but as we mentioned care needs to be taken for both patients and staff. At Sydney Holistic Dental Centre, we are constantly reviewing our procedure and now take even greater care in amalgam removal.
There is also a new and revised safety protocol that includes a number of additional steps to safely remove mercury fillings. This is called the SMART protocol which you can learn about by clicking the button below.
The SMART Safety Protocol
Find out more…
Treatment Options for Amalgam Removal
The best ‘filling material’ is natural tooth. Mercury amalgam fillings can be replaced with a number of more biocompatible materials.
Biocompatible materials minimise or eliminate any interference with normal bodily functions. The most commonly used alternatives are composite resin or ceramic restorations.
Our preference is ceramic inlays or onlays because they are as tooth-like a restoration as we are able to do. Ceramic restorations are excellent at preserving and reinforcing natural tooth structure, it is non-metallic and long lasting.
The Amalgam Removal Procedure
We take extreme care in removing mercury amalgam fillings, whether large or small. If you have amalgam fillings, the replacement of these is planned with the Dentist at your initial consultation.
The number of appointments, the procedure and the cost will depend upon the size of the amalgam fillings you are having removed.
The following protocols for safer mercury amalgam removal are used throughout the practice:
- Use of rubber dam to prevent ingestion of amalgam debris
- Medical air for patient to direct vapour away from inhalation
- High strength suction to avoid mercury recirculation
- Use of negative ion generators and air purifiers
- Use of tungsten carbide burs to remove amalgam, minimising heat generated and length of procedure
This SMART protocol can help in the following ways:
- Protects your airway, clothes and hair from debris associated while removing old restorations so you don’t swallow or inhale amalgam/mercury
- Guards soft tissue by keeping tongue, lips and cheeks protected
- Improves access and visibility – much easier for dentist and assistant to see the area they are working on
- It allows our patients to truly relax
- Protects the dental team
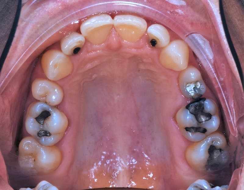
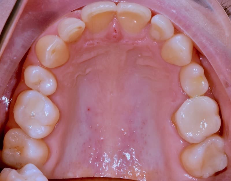
Amalgam Filling Removal: Before & After Photos
Before

After

Is it safe to remove Amalgam fillings? Or is it better to leave them?
The most exposure to mercury for you is during the placement and removal of the filling.
The removal of existing fillings depends on factors like the age and condition of the existing filling…. the scientific literature tells us the average age is 12-15 years. Many fillings have been in longer, and we often see cracks and recurrent decay in the surrounding tooth structure. We also need to consider the general health of the patient. Sometimes that recurring decay can be deep, with or without any prior pain.
Can I get Mercury fillings removed in one appointment? How many appointments do I need?
This all depends upon the location, number and size of the mercury fillings you have. We will discuss a treatment plan with you during the initial consultation outlining optimal filling material, time and costs.
Do you charge for removing the Amalgam fillings?
No. There is no additional cost for the removal of the amalgam filling using the SMART protocols. The cost is for the replacement material.
What can Amalgam fillings be replaced with?
The most commonly used alternatives are composite resin or ceramic restorations.
Contact Us
Schedule Your Next Appointment or Send Us An Enquiry


