Safe holistic teeth whitening
There are many causes of tooth discoloration. The most common include aging and consumption of staining substances such as coffee, tea, colas, tobacco, red wine, etc. During tooth formation, consumption of tetracycline, certain antibiotics or excessive fluoride may also cause tooth discoloration.
The best natural tooth whitening is a simple, safe and cost effective cosmetic approach to improving your smile giving the teeth a clean, white and youthful appearance.
Holistic Approach
So much of our everyday activity and interaction involves using our mouth – eating, talking, smiling or laughing. It is therefore important to have a smile you’re happy with to help give you the confidence and self-esteem needed to be your best and to be well.
Tooth whitening is a non-invasive, low-risk process to help you achieve these outcomes.
Whitening is a suitable option for most patients, however we first ensure that major dental issues (e.g. periodontal disease, decay) have been treated before proceeding. It is important to speak to the Dentist or Hygienist before proceeding with any type of whitening.
Is teeth whitening safe?
Yes. Extensive research shows that whitening teeth under the supervision of a holistic teeth whitening dentist is safe. Some patients may experience sensitivity while whitening. Tooth whitening is not recommended for children under 15 years of age and pregnant or lactating women. We do not recommend whitening systems that require use of whitening gels overnight.
Is professional tooth whitening better than over-the-counter?
The one question we are often asked is what the most effective natural teeth whitening option is. Professional tooth whitening or an over-the-counter DIY teeth whitening kit? Consulting your dental professional is always the first step to whitening your teeth safely.
Over-the-counter tooth whitening strips, brush-on gels, and toothpastes can take weeks or months to whiten your teeth just a few shades and may damage tooth enamel.
Professional tooth whitening provides the quickest and safest tooth whitening. You can trust that a professional is looking after you and using trustworthy products from reputable sources.
Further, custom-made whitening trays are extremely important to achieving optimal results. This is done in-house by our professional team.
Signs & Symptoms
If you’re unhappy with the way your teeth present, or feel they could be whiter, speak to one of our Dentists or Hygienists about teeth whitening as an option for you.
The following can have an impact on the appearance of teeth:
- Consumption of sugary food and beverages
- Accumulation of plaque and tartar deposits
- Some antibiotic treatment during childhood
- Dark compounds found in products such as coffee, tea, wine and tobacco can also increase acid levels and lead to weakened enamel
- Genetic factors and age also play a role
- Fluorosis (caused by excessive intake of fluoride) results in chalky-white or even brown spots, patches or lines across a tooth’s surface
- Internal tooth changes or tooth decay can also result in discolouration
- Trauma to the teeth may cause brown, grey or black colour
The best thing you can do to combat most of the above factors is to practice good oral hygiene. This means brushing and flossing daily to protect against tooth decay and gum problems. Regular 6 monthly check ups with the hygienist will also ensure your teeth are cleaned and receiving the professional care they need to avoid tooth decay and gum disease.
If you would like to whitening your teeth, then we make an assessment.
How is that assessment made?
The dentist/hygienist will go over what you personally can expect for your individual situation and determine whether you are a suitable candidate for whitening.
We will also conduct a shade assessment and determine the cause of discoloration (e.g. diet, ageing). Severe discolouration can be treated with good results in many instances. More difficult cases may require multiple treatments.
Treatment Options
There are two treatment options at Sydney Holistic Dental Centre:
- At-home teeth whitening:
-
- Whiten your teeth at home. Usually takes 1-2 weeks to achieve desired results
- In-house teeth whitening:
-
- Whiten in the dental chair for faster results. Perfect for if you have an event coming up that you’d like to have a whiter brighter smile for such as a wedding.
- At-home whitening pack included for home touch ups.
Both options can ultimately achieve the same aesthetic result.
Whitening for life program:
We believe prevention is better than cure – as an incentive to encourage our patients to have regular hygiene for better oral and general health we have introduced our new Whitening for Life program.
Join the program, purchase your custom-made whitening trays and receive a FREE whitening gel (valued at $75) with every 6-monthly hygiene visit. Contact us today to find out if this program would be suitable for you.
The Procedure
At Home Tooth Whitening
Usually takes minimum 10-14 days, but the latest research suggests 2-3 weeks may give even better longer lasting results.
The procedure involves wearing upper and lower whitening trays containing the whitening gel for 60 minutes (NB: trays only used for 30 minutes if sensitivity is a problem) each day. This is gentler than the in-office whitening method, but requires you to be committed to using the trays as instructed.
Following some simple post-whitening instructions will help you maintain your white smile.
In-Office Tooth Whitening
Takes 90-120 minutes to carry out and our procedure involves:
- taking an upper and lower impression
- carefully cleaning your teeth
- placing a protective barrier over the gums
- placing the whitening gel
- repeating the procedure 2-3 times
Before you leave you will also be given a touch up kit to be used in the 2-10 days following treatment.
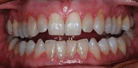
Before and After Photos


Contact Us
Schedule Your Next Appointment or Send Us An Enquiry
